Stomatologija i ortodoncija Gazibara
Početna
Stomatologija
O nama
Radno vrijeme
Galerija
Naši radovi
Ordinacija
Kontakt
Početna
Stomatologija
O nama
Radno vrijeme
Galerija
Naši radovi
Ordinacija
Kontakt
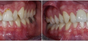
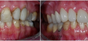
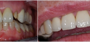
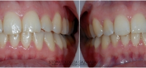
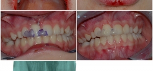
Naši radovi
Home
Naši radovi
Hitni slučajevi
Fiksna protetika – bezmetalna keramika
Fiksna protetika – metal keramika
Restorativna stomatologija
Koristimo kolačiće kako bismo vam pružili najbolje online iskustvo.
U redu