Sanacija i protetska rehabilitacija u razumnom vremenskom roku.

Stomatološke usluge

 

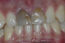
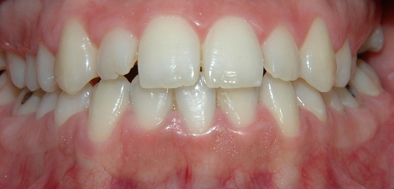
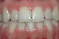
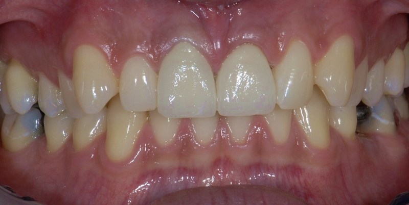
Restorativna stomatologija - popravci zuba ispunima ( plombama )

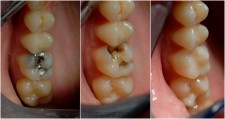
amalgamski ispun - karijes ispod starog amalgama - novi kompozitni ispun prije / poslije / poslije, bočni pogled stanje pri dolasku - nakon restauracije kompozitnim ispunom

Endodoncija - liječenje korijena zuba

LIJEVO: strojni endodontski instrumenti - DESNO: ručni endodontski instrumenti
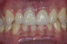
LIJEVO: 1a početno stanje,prednji zubi - DESNO: 1b nakon završetka terapijee LIJEVO: 2a revizija punjenja korijenskih kanala,višekorijenski zubi        <br />
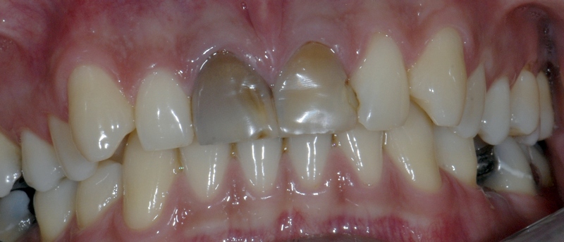
DESNO: 2b nakon završetka terapije LIJEVO: 3a  prije revizije punjenja,jednokorijenski zub<br />
DESNO: 3b  nakon završetka terapije LIJEVO: 4a liječenje granuloma ,početno stanje<br />
SREDINA: 4b stanje nakon 9 mjeseci<br />
DESNO: 4c stanje nakon 3 godine, granuloma više nema !

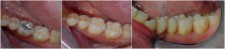
Dentalna protetika - krunice, mostovi, proteze

empress kruna

cirkon keramika cirkon keramika1JPG
Vrhunska optička estetska i mehanička svojstva bezmetalnih keramičkih radova
metal keramika
Metal keramički radovi

Ambulantni kirurški zahvati - hitne intervencije

Najčešće su to ekstrakcije zuba i zaostalih korijena, ekscizije tkiva, trepanacije zuba, bolna i hitna stanja poslije vađenja zuba, upalna stanja sa incizijama apscesa i drenažom.
Svi zahvati se rade pod anestezijom iako neugodni, bezbolni su.

Igla Kirurški instrumenti

Parafunkcijske i sportske udlage - zaštitne udlage ( splintovi )

Zaštitne udlage za zube kod noćnog škripanja (bruksizam), kod borilačkih sportova kao zaštita od traume.
Služe istom: zaštiti vašeg osmjeha.

Splint Splint

Preventiva

Uskoro

Ponedjeljak Utorak Srijeda Četrvtak Petak Subota Nedjelja
09.00 - 10.00
Stomatologija
09.00 - 12.00
Stanko Gazibara, dr. med. dent.
Stomatologija
09.00 - 12.00
Stanko Gazibara, dr. med. dent.
10.00 - 11.00
11.00 - 12.00
12.00 - 13.00
13.00 - 14.00
14.00 - 15.00
15.00 - 16.00
16.00 - 17.00
17.00 - 18.00
Stomatologija
17.00 - 20.00
Stanko Gazibara, dr. med. dent.
Stomatologija
17.00 - 20.00
Stanko Gazibara, dr. med. dent.
18.00 - 19.00
19.00 - 20.00
Click on the department name to get additional info
Ponedjeljak Utorak Srijeda Četrvtak Petak Subota Nedjelja
09.00 - 10.00
Stomatologija
09.00 - 12.00
Stanko Gazibara, dr. med. dent.
Stomatologija
09.00 - 12.00
Stanko Gazibara, dr. med. dent.
10.00 - 11.00
11.00 - 12.00
12.00 - 13.00
13.00 - 14.00
14.00 - 15.00
15.00 - 16.00
16.00 - 17.00
17.00 - 18.00
Stomatologija
17.00 - 20.00
Stanko Gazibara, dr. med. dent.
Stomatologija
17.00 - 20.00
Stanko Gazibara, dr. med. dent.
18.00 - 19.00
19.00 - 20.00
Click on the department name to get additional info

Kontakt formular

    Vaše ime (obavezno)

    Vaš Email (obavezno)

    Predmet

    Vaša Poruka

    Dajem privolu da se moji podaci koriste u svrhu kontakta.